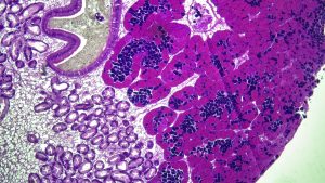
M1F1- transitional stage. both m and f present and mature